Orthopedic Department
整形外科外来
整形外科疾患
当院で来院数の多い整形外科疾患は膝関節の病気です。
小型犬の膝蓋骨脱臼(パテラ)と小型犬から大型犬でみられる前十字靭帯断裂症です。
この2つの病気は外科手術を行うことで跛行が改善して健全な日常生活が送れるようになります。
膝蓋骨内方脱臼(パテラ)
小型犬(トイプードル、ポメラニアン、チワワなど)、柴犬でみられます。
遺伝的に膝蓋骨と大腿骨滑車の形成異常が原因です。
症状
- 散歩中や遊んでいるときに突然キャンと鳴いた
- スキップするように足を上げる
- 歩くとき後ろ足が内側に曲がっているように見える
- お座りの時後ろ足が真っ直ぐ座れない
- ジャンプをしたがらない
外科手術
グレード2~4が手術適応となります。最低4つの術式を組み合わせて行います。
【グレード分類】
- グレード1:パテラを押すと脱臼するが正常な位置に戻る
- グレード2:頻繁に脱臼するが容易に整復できる
- グレード3:常に脱臼しているが整復してもまた脱臼する
- グレード4:常に脱臼しており整復できない
-
①滑車溝造溝
膝のパテラの溝(滑車溝)が浅いため溝を深くします(軟骨ブロック法)
-
②脛骨粗面外側転移
パテラの靱帯付着部である脛骨粗面が内側に曲がっているので骨切りをして正中に整復してピンで固定します。
成長期で脛骨粗面が閉じていない場合は吸収糸で外側に引っ張り脛骨を内旋しないようにします。
-
③内側支帯筋の切離
パテラを内側に牽引する筋肉(前縫工筋、内側広筋)が緊張しているためその筋肉の一部を切離して牽引力を緩めます。
-
④外側支帯の縫縮
外側の関節包、筋肉が伸びているため外側支帯を緊張させるため縫縮します。
再脱臼率
グレード2~3では15%、グレード4では20~30%と報告されています。症状によっては再手術が必要になります。
前十字靭帯断裂症
膝の前十字靭帯が外傷や加齢により完全断裂あるいは部分断裂により跛行がみられます。
小型犬から大型犬まで中高年で多く発症します。診断には整形外科検査とレントゲン検査が必要です。
継続的な痛みがあるため内科治療(鎮痛剤やサプリメント)で跛行の改善は困難で外科手術が必要となります。
また両足の前十字靭帯断裂症になる可能性が30~40%あります。
外科手術法
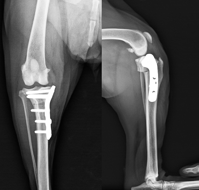
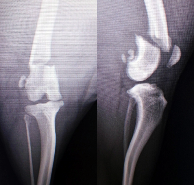
断裂した前十字靭帯は再建できないため大腿骨と脛骨の位置関係を正常な状態に戻すことで膝関節の安定性を保つため脛骨高平部水平骨切り術(TPLO)と関節制動法(ラテラルスチャー法)があります。
TPLO(脛骨高平部水平骨切り術)
膝下の脛骨を扇状に切断し、尾側に移動することで関節内の脛骨と大腿骨を正常な位置に戻し特殊なプレートで固定します。
大腿骨と脛骨の位置関係が整復されることで負重する時の膝の動きが安定化して跛行が改善します。
当院では2㎏のチワワから70㎏の超大型犬までTPLOを行っています。
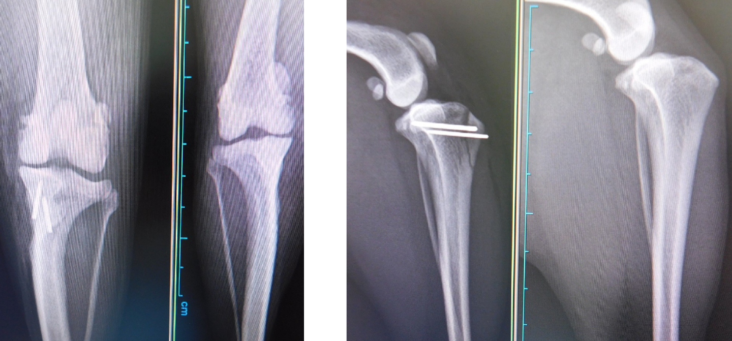
関節外制動法(ラテラルスーチャー法)
非吸収性糸で大腿骨と脛骨を締結して脛骨が前方に移動しないように固定することで関節周囲の組織が線維化することを期待する方法です。
しかし糸が早期に緩んだり切れてしまうと跛行が改善しません。
TPLOの手術の負担がかかる場合に選択します。
●術後ケア●
術後は徐々に歩様が改善していきます。個人差はありますが2~3週間で歩行可能となります。
そのためリハビリが必要となります。
当院では術後10日目より適度な運動と定期的に理学療法(近赤外線照射)、疼痛や関節炎進行を抑える注射を行っています。
体重管理が重要で肥満傾向の場合は減量を強く推奨しています。
骨折
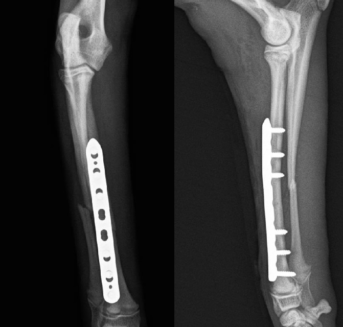
小型犬の前肢骨折(橈尺骨骨折)は転倒や落下で簡単に骨折します。
ほとんどがプレートとスクリュー固定にて完治できますからできるだけ早期に手術を行います。
術後は関節の拘縮や筋肉の萎縮を予防するため適度な運動とリハビリが重要です。
骨折した肢を負重することで早期に骨癒合が促されます。
骨癒合が得られればスクリューを外す手術を行います。
後肢の骨折(骨盤、大腿骨、脛骨)は高エネルギー外傷(交通事故、高い所からの落下など)で全身にダメージを受けている場合があります。
必ず全身状態の評価を行ったうえで整復固定手術を行います。
-
【術前】大腿骨遠位端骨折プレート整復固定 -
【術後】大腿骨遠位端骨折プレート整復固定 -
【術前】大腿骨粉砕骨折プレート整復固定 -
【術後】大腿骨粉砕骨折プレート整復固定 -
【術前】橈尺骨遠位端プレート整復固定 -
【術後】橈尺骨遠位端プレート整復固

TOPへ
Web予約